5 Cara Membersihkan Karang Gigi yang Sudah Mengeras secara Alami
JAKARTA, iNews.id Cara membersihkan karang gigi yang sudah mengeras secara alami patut dicoba. Khususnya buat mereka yang memiliki karang gigi mengeras hingga menguning, ada baiknya mencoba cara untuk menghilangkannya.
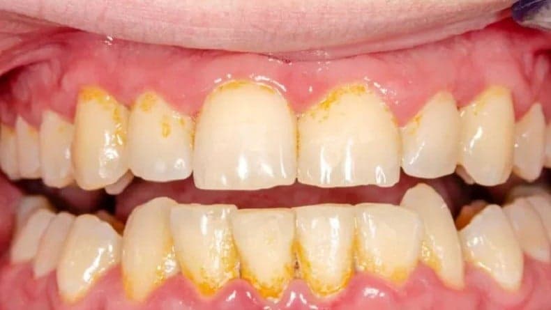
Harus diingat karang gigi jika dibiarkan terus dapat membuat tampilan seseorang menjadi tidak menarik. Karang gigi juga dapat meningkatkan risiko kamu mengalami berbagai masalah mulut di kemudian hari. Mulai dari bau mulut, gigi surut, radang gusi (gingivitis), gigi berlubang, hingga penyakit gusi yang serius.
Ketimbang sering menggunakan obat kumur, ada baiknya coba cara untuk membersihkan karang gigi dengan mudah. Selain lebih aman dan membuat mulut lebih sehat, menghilangkan karang gigi pun bikin penampilanmu lebih kece.
Begini cara membersihkan karang gigi yang sudah mengeras secara alami.
1. Rajin makan sayur dan buah
Cara membersihkan karang gigi yang sudah mengeras secara alami dengan memperbanyak makan buah dan sayuran. Dipercaya buah dan sayuran membantu meningkatkan produksi air liur. Sementara air liur sendiri berfungsi untuk membilas kotoran, sisa-sisa makanan, hingga bakteri di dalam mulut.
2. Kumur minyak kelapa
Minyak kelapa mengandung antioksidan dan asam laurat yang dapat membantu membasmi bakteri jahat di dalam mulut. Untuk mendapatkan manfaat ini, kamu cukup berkumur dengan satu sendok makan minyak kelapa selama 5-10 menit.
3. Flossing gigi
Karang gigi yang masih tipis juga dapat dihilangkan dengan membersihkan menggunakan benang, alias flossing. Benang gigi membantu merontokan plak dan sisa makanan yang tersangkut di sela-sela gigi, yang sulit dijangkau dengan sikat biasa.
4. Scaling di dokter gigi
Cara membersihkan karang gigi yang sudah mengeras secara alami adalah pergi ke dokter gigi. Di dokter biasanya ada alat khusus bernama ultrasonic scaler untuk merontokan karang yang ada di sela-sela gigi maupun bagian garis gusi. Lamanya proses pembersihan karang menggunakan ultrasonic scaler ini pun bervariasi, tergantung tingkat keparahan karang yang terbentuk.
5. Jangan malas gosok gigi
Menggosok gigi juga menjadi cara membersihkan karang gigi yang sudah mengeras secara alami. Usahakan rutin gosok gigi sebelum tidur agar tidak terjadi penumpukan kotoran semalaman.
Itulah cara membersihkan karang gigi yang sudah mengeras secara alami.









